深圳新闻

深圳一保姆患肺结核,传染给雇主3岁小孩,找保姆,光有健康证够吗

编辑:彭桂红2017-07-10 07:39内容来源:今日一线

新闻提要

深圳市家政服务行业协会秘书长#陈任杰: “选人的过程中,一定要正确的甄别,家政企业和从业群体,找到合规、品牌化,有这个口碑的家政企业。

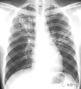
最近,在深圳

  又有一个带孩子的保姆患有肺结核

  因体检时没查出来

  结果导致了雇主家中

  不满3岁的女儿也感染了肺结核

  (肺结核 网络图)

相关新闻