编辑:梁盈豪2025-10-21 10:57内容来源:红星新闻
近日,朱女士发帖讲述,她今年8月带着孩子乘坐火车时,一名男乘客从上铺摔落,砸到了睡在下铺的孩子的大腿,导致孩子股骨骨折。这名男乘客虽然陪同她们去了医院,但孩子做完手术后,对方表示手头没钱,要回去筹钱。9月上旬,男子最后接了一次朱女士的电话,随后朱女士再也无法联系到对方。
近日,朱女士发帖讲述,她今年8月带着孩子乘坐火车时,一名男乘客从上铺摔落,砸到了睡在下铺的孩子的大腿,导致孩子股骨骨折。这名男乘客虽然陪同她们去了医院,但孩子做完手术后,对方表示手头没钱,要回去筹钱。9月上旬,男子最后接了一次朱女士的电话,随后朱女士再也无法联系到对方。
据扬子晚报19日报道,涉事男乘客表示,自己并非失联,在事发后支付2万多元医疗费时,自己已处于失业无收入状态,身上拿不出更多的钱,后续一直在找工作,“我现在已经在外地找到了一份工作,等到发了工资会进行赔偿。”
铁路方工作人员告诉记者,铁路行车有相关数据,包括车厢内的监控,均显示事发时火车未发生晃动。

▲朱女士的女儿在救护车上 受访者供图
据红星新闻此前报道,9月30日,朱女士告诉红星新闻记者,8月24日,她带着10岁的女儿乘坐列车前往杭州,她和孩子都睡在下铺。大约凌晨1点,火车即将停靠无锡站,睡梦中的朱女士突然被女儿的哭声惊醒,她看到旁边站着一名身材高大的男乘客。女儿哭得撕心裂肺,一直喊腿疼。孩子哭声很大,列车工作人员闻讯赶来后,帮朱女士联系了警方和救护车。火车停靠后,朱女士和这名男乘客一起搭乘救护车前往无锡的医院检查。
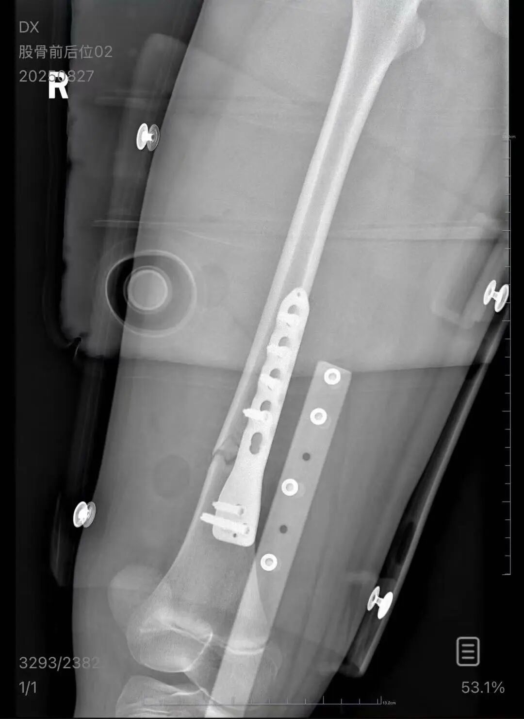
朱女士向记者出示的医院病历显示,8月24日凌晨,朱女士的女儿到医院就诊。医院诊断朱女士的女儿右股骨骨折,需要住院进一步治疗。

▲朱女士女儿手术后拍的X光片 受访者供图
朱女士说,起初,男乘客态度不错,陪同着母女二人到医院治疗,垫付了住院押金,为孩子买了一些护理用品。但女儿做完手术后的第二天,男乘客给朱女士发了一条信息,说他要回去筹钱。男乘客离开后,朱女士每天都会联系对方,但他几乎没有回应。大约9月上旬,男乘客接了一次电话,让朱女士把医疗票据发给他,从那之后,男乘客再也不接电话,也不回消息了。

▲朱女士女儿的门诊病历 受访者供图
据扬子晚报报道,抵达杭州后,涉事男乘客为朱女士垫付了5000元的住院押金,医院开始给孩子安排手术,“但在手术后的第二天,该名男乘客说要回家筹钱,然后就直接走掉了,回去之后他先后给我转了15000元,就失去了联系。”
朱女士告诉扬子晚报/紫牛新闻记者,医疗费加上护工费已经花费了5万多元,“而且在出院以后,医生说因为植入了钢板,后续孩子可能会有后遗症,最有可能出现的是长短腿,让我们去做康复治疗,这就面临着另一笔费用。”
朱女士称,此事被曝光后,她终于得知事发时监控视频的内容,“铁路方描述称,涉事男乘客是因为在下梯子下到一半时,又上去伸手够在铺位上的眼镜,再下来后脚下踩空,整个人因为惯性摔了下来。”
目前朱女士也已经委托律师,如果此事仍旧没有结果的话,她将会起诉涉事男乘客,“铁路方面也表态,如果我后续走法律途径,他们会积极配合。”
铁路方称事发时火车未晃动
男乘客回应:发了工资后会赔偿
铁路方的工作人员告诉扬子晚报/紫牛新闻记者,在事情发生后,他们有帮女孩母亲寻找涉事旅客,“我们依照他留的家庭地址去走访过,但是没有找到。后续我们从他邻居那里获取到新的地址,但还是没找到人。后来经过我们反复电话联系,该名旅客终于给我们回了电话,答应会及时和孩子家属联系,他还是希望女孩家属通过司法途径,有了法院的判定标准后,他会一次性付清。”
铁路方工作人员告诉记者,他们也对该名男乘客进行了引导,让他积极响应和配合受害者家属,以便她们进行后续的治疗。
10月19日下午,朱女士告诉扬子晚报/紫牛新闻记者,目前孩子已经在康复医院接受治疗,“对方依旧是电话不接,信息不回。”
同日,记者致电涉事男乘客,他接通电话后表示,自己并非失联,在事发后支付2万多元医疗费时,自己已处于失业无收入状态,身上拿不出更多的钱,后续一直在找工作,“我现在已经在外地找到了一份工作,等到发了工资会进行赔偿。”
至于事发时火车是否晃动,该名男乘客告诉记者,当时火车快要到站,他才准备从上铺下来,“一般火车要到站的时候不是会刹车,有顿挫嘛。我摔下来也并非完全是火车的原因,我也没怪火车,也有自己没抓稳的因素在里面。”该名男乘客表示,自己的确是感觉到了事发时火车有晃动。
而铁路方工作人员告诉扬子晚报/紫牛新闻记者,铁路行车有相关数据,包括车厢内的监控,均显示事发时火车未发生晃动。
知名律师河南泽槿律师事务所主任付建认为,火车未晃动,则旅客摔落是其个人原因导致,铁路方无需承担责任。铁路方的安全保障义务限于列车运行正常、卧铺设施符合标准等。铁路方能举证已尽到上述义务,旅客跌落系自身疏忽所致,则无需承担赔偿责任。男乘客因自身未抓稳护栏而跌落砸伤女孩,存在明显过错,需承担侵权责任,具体包括赔偿女孩的医疗费、护理费、康复费、护工费等。
来源:扬子晚报/紫牛新闻、红星新闻此前报道
相关新闻